User
Write something
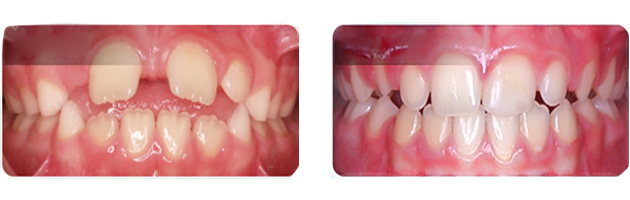
Invisalign First | Dra. Marta Cuadra — Ortodoncia interceptiva digital
𝗟𝗼𝘀 𝗻𝗶ñ𝗼𝘀 𝘀𝗼𝗻 𝗲𝗹 𝗳𝘂𝘁𝘂𝗿𝗼, 𝘆 𝘀𝘂 𝗼𝗿𝘁𝗼𝗱𝗼𝗻𝗰𝗶𝗮 𝘁𝗮𝗺𝗯𝗶é𝗻 𝗲𝘀 𝗱𝗶𝗴𝗶𝘁𝗮𝗹. 👶🦷 Soy la @Dra. Marta Cuadra y confieso que amo tratar a los más pequeños con Invisalign First. Es como enderezar un arbolito mientras crece; tenemos la oportunidad de redirigir el crecimiento óseo y ganar espacio sin la incomodidad de los aparatos fijos tradicionales. Sin embargo, tratar a un niño en dentición mixta requiere una estrategia diferente: hay que gestionar los pónticos, las erupciones y la expansión compensatoria. No es un "ClinCheck pequeño", es una planificación de desarrollo de arcada pura. ¿Cuál es tu mayor reto con los pacientes de First?: #InvisalignFirst #OrtodonciaInterceptiva #DraMartaCuadra #Odontopediatria #AlineadoresInvisibles
Poll
2 members have voted
Invisalign First | Dra. Marta Cuadra — Ortodoncia interceptiva digital
Mordida Cruzada Posterior | Dra. Marta Cuadra — Expansión asimétrica
𝗖𝗼𝗿𝗿𝗲𝗴𝗶𝗿 𝘂𝗻𝗮 𝗺𝗼𝗿𝗱𝗶𝗱𝗮 𝗰𝗿𝘂𝘇𝗮𝗱𝗮 𝘂𝗻𝗶𝗹𝗮𝘁𝗲𝗿𝗮𝗹 𝗲𝘀 𝘂𝗻 𝗷𝘂𝗲𝗴𝗼 𝗱𝗲 𝗲𝗾𝘂𝗶𝗹𝗶𝗯𝗿𝗶𝗼𝘀. ⚖️🦷 Soy la @Dra. Marta Cuadra y hoy hablamos de asimetría transversal. El error más común en el ClinCheck es pedir expansión simétrica cuando solo un lado está cruzado. ¿Resultado? Sobreexpandes el lado sano y el lado cruzado sigue igual. Como Invisalign Diamond Apex 💎, mi protocolo es bloquear el lado que está bien y centrar toda la fuerza expansiva en el lado del problema. Esto requiere un uso magistral de los elásticos cruzados (criss-cross) y un torque radículo-vestibular diferencial. No dejes que el software decida por ti; manda tú. ¿Cuál es tu mecánica para la mordida cruzada unilateral?: #MordidaCruzada #BiomecanicaAlineadores #DraMartaCuadra #PlanificacionDigital #OrtodonciaInvisible
Poll
1 member has voted
Mordida Cruzada Posterior | Dra. Marta Cuadra — Expansión asimétrica
IPR Ortodoncia | Dra. Marta Cuadra — ¿Cuándo hacer el pulido interproximal?
𝗡𝗼 𝗵𝗮𝗴𝗮𝘀 𝗜𝗣𝗥 𝗱𝗲𝘀𝗱𝗲 𝗲𝗹 𝗽𝗿𝗶𝗺𝗲𝗿 𝗱í𝗮. ✋🦷 Soy la @Dra. Marta Cuadra y esta es una de mis reglas de oro. En la ortodoncia invisible, muchos doctores se apresuran a crear espacio. Yo prefiero retrasar el IPR hasta la etapa 10 o incluso después. ¿Por qué? Porque la expansión y la proinclinación inicial nos darán un mejor acceso. Hacer IPR cuando los dientes están apiñados es arriesgado y estresa al paciente. Como ortodoncista experta, prefiero un flujo fluido y seguro. Sin espacio no hay movimiento, pero el espacio debe crearse con estrategia, no con prisas. Dime tu protocolo: ¿𝗛𝗮𝗰𝗲𝘀 𝗲𝗹 𝗜𝗣𝗥 𝗲𝗻 𝗹𝗮 𝗰𝗶𝘁𝗮 𝗱𝗲 𝗲𝗻𝘁𝗿𝗲𝗴𝗮 𝗼 𝗲𝘀𝗽𝗲𝗿𝗮𝘀 𝘂𝗻𝗮𝘀 𝘀𝗲𝗺𝗮𝗻𝗮𝘀? ¿𝗤𝘂é 𝗵𝗲𝗿𝗿𝗮𝗺𝗶𝗲𝗻𝘁𝗮 𝗽𝗿𝗲𝗳𝗶𝗲𝗿𝗲𝘀: 𝗱𝗶𝘀𝗰𝗼𝘀, 𝗳𝗿𝗲𝘀𝗮𝘀 𝗼 𝘁𝗶𝗿𝗮𝘀 𝗺𝗮𝗻𝘂𝗮𝗹𝗲𝘀? ¿𝗥𝗲𝗱𝘂𝗰𝗲𝘀 𝗲𝗹 𝘃𝗮𝗹𝗼𝗿 𝗱𝗲𝗹 𝗜𝗣𝗥 𝘀𝗶 𝘃𝗲𝘀 𝗾𝘂𝗲 𝗹𝗮 𝗲𝘅𝗽𝗮𝗻𝘀𝗶ó𝗻 𝗲𝘀 𝘀𝘂𝗳𝗶𝗰𝗶𝗲𝗻𝘁𝗲?
IPR Ortodoncia | Dra. Marta Cuadra — ¿Cuándo hacer el pulido interproximal?
Clase III sin cirugía | Dra. Marta Cuadra - Cómo cambió mi forma de planificar los casos complejos
Este caso era un paciente clase III con un mentón muy pronunciado que tenía clarísimo que no quería pasar por quirófano. ​ Hace unos años, yo misma @Dra. Marta Cuadra probablemente habría optado por extraer dos premolares inferiores… sin tener en cuenta un factor clave: la lengua y el espacio que necesita para funcionar correctamente. ​ Hoy mi forma de planificar es distinta. ✨ ​ En este caso decidimos: extracción de muelas del juicio, colocación de microtornillos y distalización controlada para ganar espacio y mejorar la relación ósea. ​ Y, algo igual de importante que los movimientos dentarios: derivamos al paciente a una logopeda para reeducar posición y función lingual. ​ Moraleja clínica: 😌 No todo es hueso y dientes en la ficha del caso; la función (lengua, respiración, hábitos) puede convertir un “buen plan” en un fracaso… o en un caso excelente. ​ Ahora te pregunto yo... En los casos clase III sin cirugía, ¿qué sueles priorizar: extracciones, distalización, compensaciones o derivación funcional? ​ ¿Trabajas de forma habitual con logopedas u otros profesionales para abordar la causa funcional de las maloclusiones? ​
Clase III sin cirugía | Dra. Marta Cuadra - Cómo cambió mi forma de planificar los casos complejos
Extracciones en Invisalign | Dra. Marta Cuadra — Gestión del anclaje G6
𝗘𝘅𝘁𝗿𝗮𝗲𝗿 𝗽𝗿𝗲𝗺𝗼𝗹𝗮𝗿𝗲𝘀 𝘆 𝘂𝘀𝗮𝗿 𝗮𝗹𝗶𝗻𝗲𝗮𝗱𝗼𝗿𝗲𝘀 𝘆𝗮 𝗻𝗼 𝗲𝘀 𝘂𝗻 TABU. 🦷🚫 Soy la @Dra. Marta Cuadra y hoy hablamos de la mecánica de extracciones. Muchos doctores temen que el espacio se cierre con "tipping" (inclinación de las coronas) en lugar de traslación pura. Aquí es donde el protocolo G6 es vital. Como Invisalign Diamond Apex 💎, sé que la clave para que las raíces se mantengan paralelas es el uso de ataches optimizados de soporte y una secuencia de cierre que no sature la biología del hueso. Si planificas bien tu ClinCheck, el cierre de espacios es predecible y estético desde el día uno. ¿Cómo prefieres cerrar los espacios de extracción?: #ExtraccionesDentales #ProtocoloG6 #BiomecanicaAlineadores #DraMartaCuadra #OrtodonciaInvisible
Poll
1 member has voted
Extracciones en Invisalign | Dra. Marta Cuadra — Gestión del anclaje G6
1-16 of 16
Alineadores | Dra Marta Cuadra
skool.com/alineadoresinvisibles
Comunidad de ortodoncistas · Ortodoncia invisible ·
Biomecánica · ClinCheck · Invisalign Diamond Apex 💎
Leaderboard (30-day)
Powered by