Activity
Mon
Wed
Fri
Sun
Jun
Jul
Aug
Sep
Oct
Nov
Dec
Jan
Feb
Mar
Apr
May
What is this?
Less
More

Owned by Dra. Marta

Alineadores | Dra Marta Cuadra

51 members โ€ข Free

Comunidad de ortodoncistas ยท Ortodoncia invisible ยท Biomecรกnica ยท ClinCheck ยท Invisalign Diamond Apex ๐Ÿ’Ž

Memberships

38 contributions to Alineadores | Dra Marta Cuadra
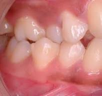
Plano Oclusal | Dra. Marta Cuadra โ€” El error que arruina tu torque ๐Ÿ˜Œ
ยฟ๐—ฆ๐—ฎ๐—ฏรญ๐—ฎ๐˜€ ๐—พ๐˜‚๐—ฒ ๐—ฒ๐—น ๐Ÿต๐Ÿฌ% ๐—ฑ๐—ฒ ๐—น๐—ผ๐˜€ ๐—บ๐—ผ๐—ป๐˜๐—ฎ๐—ท๐—ฒ๐˜€ ๐—ฑ๐—ถ๐—ด๐—ถ๐˜๐—ฎ๐—น๐—ฒ๐˜€ ๐—ฒ๐˜€๐˜รก๐—ป ๐—บ๐—ฎ๐—น ๐—ผ๐—ฟ๐—ถ๐—ฒ๐—ป๐˜๐—ฎ๐—ฑ๐—ผ๐˜€? ๐Ÿ“๐Ÿ˜ฒ Soy la @Dra. Marta Cuadra y hoy hablamos del plano oclusal. Si no ajustas la inclinaciรณn del maxilar en tu ClinCheck inicial, estarรกs programando un torque que no es real en la boca de tu paciente. Un error de 5 grados en el software se traduce en un desajuste total en la finalizaciรณn. Yo siempre uso la herramienta de plano oclusal guiรกndome por la fotos de sonrisa. Como Invisalign Diamond Apex, sรฉ que el รฉxito empieza en un montaje preciso. No es un fallo del sistema, es un fallo de planificaciรณn inicial. Hablemos de precisiรณn: ยฟ๐—”๐—ท๐˜‚๐˜€๐˜๐—ฎ๐˜€ ๐—น๐—ฎ ๐—ต๐—ฒ๐—ฟ๐—ฟ๐—ฎ๐—บ๐—ถ๐—ฒ๐—ป๐˜๐—ฎ ๐—ฑ๐—ฒ "๐—ฃ๐—น๐—ฎ๐—ป๐—ผ ๐—ข๐—ฐ๐—น๐˜‚๐˜€๐—ฎ๐—น" ๐—ผ ๐—ฑ๐—ฒ๐—ท๐—ฎ๐˜€ ๐—น๐—ฎ ๐—พ๐˜‚๐—ฒ ๐˜ƒ๐—ถ๐—ฒ๐—ป๐—ฒ ๐—ฝ๐—ผ๐—ฟ ๐—ฑ๐—ฒ๐—ณ๐—ฒ๐—ฐ๐˜๐—ผ? ยฟ๐—˜๐˜€๐—ฐ๐—ฎ๐—ป๐—ฒ๐—ฎ๐˜€ ๐˜€๐—ฒ๐—ป๐˜๐—ฎ๐—ฑ๐—ผ ๐—ผ ๐˜๐˜‚๐—บ๐—ฏ๐—ฎ๐—ฑ๐—ผ? (๐—ฅ๐—ฒ๐—ฐ๐˜‚๐—ฒ๐—ฟ๐—ฑ๐—ฎ ๐—พ๐˜‚๐—ฒ ๐—น๐—ฎ ๐—ฝ๐—ผ๐˜€๐—ถ๐—ฐ๐—ถรณ๐—ป ๐—ฐ๐—ฎ๐—บ๐—ฏ๐—ถ๐—ฎ ๐—น๐—ฎ ๐—ผ๐—ฐ๐—น๐˜‚๐˜€๐—ถรณ๐—ป). ยฟ๐—–๐—ผ๐—บ๐—ฝ๐—ฎ๐—ฟ๐—ฎ๐˜€ ๐—ฒ๐—น ๐—บ๐—ผ๐—ป๐˜๐—ฎ๐—ท๐—ฒ ๐˜ƒ๐—ถ๐—ฟ๐˜๐˜‚๐—ฎ๐—น ๐—ฐ๐—ผ๐—ป ๐—น๐—ฎ๐˜€ ๐—ณ๐—ผ๐˜๐—ผ๐˜€ ๐—ณ๐—ฎ๐—ฐ๐—ถ๐—ฎ๐—น๐—ฒ๐˜€ ๐—ฑ๐—ฒ๐—น ๐—ฝ๐—ฎ๐—ฐ๐—ถ๐—ฒ๐—ป๐˜๐—ฒ?
Plano Oclusal | Dra. Marta Cuadra โ€” El error que arruina tu torque ๐Ÿ˜Œ
3 likes โ€ข Mar 5
@Dr Miguel Cidraque Vella Siempre!!! Y ademรกs sabes que hay una nueva herramienta del plano oclusal en el Clincheck?
2 likes โ€ข Mar 5
@Dr Miguel Cidraque Vella
Ortodoncia Invisible | Dra. Marta Cuadra โ€” La Funciรณn crea la Forma ๐Ÿ’ช
๐—Ÿ๐—ฎ ๐—ผ๐—ฟ๐˜๐—ผ๐—ฑ๐—ผ๐—ป๐—ฐ๐—ถ๐—ฎ ๐—ถ๐—ป๐˜ƒ๐—ถ๐˜€๐—ถ๐—ฏ๐—น๐—ฒ ๐—ป๐—ผ ๐—ฒ๐—บ๐—ฝ๐—ถ๐—ฒ๐˜‡๐—ฎ ๐—ฒ๐—ป ๐—น๐—ผ๐˜€ ๐—ฑ๐—ถ๐—ฒ๐—ป๐˜๐—ฒ๐˜€, ๐—ฒ๐—บ๐—ฝ๐—ถ๐—ฒ๐˜‡๐—ฎ ๐—ฒ๐—ป ๐—น๐—ฎ ๐—ฐ๐—ฎ๐—ฟ๐—ฎ. ๐Ÿ‘๏ธ๐Ÿ‘ค Soy la @Dra. Marta Cuadra y mi enfoque funcional es lo que marca la diferencia. Antes de mirar el escaneo, miro cรณmo mastica mi paciente. Si tiene un masetero mรกs desarrollado o una รณrbita mรกs baja, me estรก gritando que es un masticador unilateral. Si alineas dientes pero no equilibras la funciรณn, el caso va a recidivar. La biologรญa siempre gana al plรกstico. Como arquitecta de sonrisas, mi prioridad es que el paciente no solo se vea bien, sino que deje de tener migraรฑas y dolores articulares. No somos vendedores de alineadores, somos mรฉdicos de la salud bucodental. Observa a tu prรณximo paciente: ยฟ๐—ง๐—ฒ ๐—ต๐—ฎ๐˜€ ๐—ณ๐—ถ๐—ท๐—ฎ๐—ฑ๐—ผ ๐—ฒ๐—ป ๐—ฒ๐—น ๐—ต๐—ผ๐—บ๐—ฏ๐—ฟ๐—ผ ๐—บรก๐˜€ ๐—น๐—ฒ๐˜ƒ๐—ฎ๐—ป๐˜๐—ฎ๐—ฑ๐—ผ ๐—ฑ๐—ฒ ๐˜๐˜‚๐˜€ ๐—ฝ๐—ฎ๐—ฐ๐—ถ๐—ฒ๐—ป๐˜๐—ฒ๐˜€ ๐—ฐ๐—ผ๐—ป ๐—–๐—น๐—ฎ๐˜€๐—ฒ ๐—œ๐—œ? ยฟ๐—ฃ๐—ฟ๐—ฒ๐—ด๐˜‚๐—ป๐˜๐—ฎ๐˜€ ๐˜€๐—ถ ๐˜๐—ถ๐—ฒ๐—ป๐—ฒ๐—ป ๐—ฑ๐—ผ๐—น๐—ผ๐—ฟ ๐—ฑ๐—ฒ ๐—ฐ๐˜‚๐—ฒ๐—น๐—น๐—ผ ๐—ฎ๐—ป๐˜๐—ฒ๐˜€ ๐—ฑ๐—ฒ ๐—ฝ๐—น๐—ฎ๐—ป๐—ถ๐—ณ๐—ถ๐—ฐ๐—ฎ๐—ฟ ๐—ฒ๐—น ๐—–๐—น๐—ถ๐—ป๐—–๐—ต๐—ฒ๐—ฐ๐—ธ? ยฟ๐—–รณ๐—บ๐—ผ ๐—ฒ๐˜…๐—ฝ๐—น๐—ถ๐—ฐ๐—ฎ๐˜€ ๐—ฎ๐—น ๐—ฝ๐—ฎ๐—ฐ๐—ถ๐—ฒ๐—ป๐˜๐—ฒ ๐—พ๐˜‚๐—ฒ ๐˜€๐˜‚ ๐—ฝ๐—ฟ๐—ผ๐—ฏ๐—น๐—ฒ๐—บ๐—ฎ ๐˜ƒ๐—ฎ ๐—บรก๐˜€ ๐—ฎ๐—น๐—นรก ๐—ฑ๐—ฒ ๐—น๐—ฎ ๐—ฒ๐˜€๐˜รฉ๐˜๐—ถ๐—ฐ๐—ฎ?
Ortodoncia Invisible | Dra. Marta Cuadra โ€” La Funciรณn crea la Forma ๐Ÿ’ช
2 likes โ€ข Mar 4
@Dr Miguel Cidraque Vella genial que digas eso! La cantidad de alumnos que estรกn enfocados en mirar dientes cuando hay que empezar mirando el rostro
2 likes โ€ข Mar 5
@Dr Miguel Cidraque Vella Quรฉ mรกs estรก en tu rutina Miguel?
Biomecรกnica Alineadores | Dra. Marta Cuadra โ€” El Diente Director ๐Ÿฆท
ยฟ๐—ค๐˜‚๐—ถรฉ๐—ป ๐—บ๐—ฎ๐—ป๐—ฑ๐—ฎ ๐—ฟ๐—ฒ๐—ฎ๐—น๐—บ๐—ฒ๐—ป๐˜๐—ฒ ๐—ฒ๐—ป ๐˜๐˜‚ ๐˜๐—ฟ๐—ฎ๐˜๐—ฎ๐—บ๐—ถ๐—ฒ๐—ป๐˜๐—ผ? ๐Ÿ‘‘๐Ÿฆท Soy la @Dra. Marta Cuadra y hoy quiero que identifiques al "culpable" de que tus casos se alarguen. En la biomecรกnica de alineadores, existe lo que yo llamo el Diente Director (o Movimiento Guรญa). Es ese diente que consume el mayor nรบmero de etapas y marca el ritmo de todo el ClinCheck. Si no identificas este diente desde el inicio, estarรกs forzando movimientos sin haber creado el espacio necesario. Es como intentar aparcar un coche donde no hay sitio. Entender la secuencia y la predictibilidad es lo que me ha permitido ser ortodoncista experta en Espaรฑa. Si dominas al Diente Director, dominas el tiempo de tu consulta. Hablemos de tus casos: ยฟ๐—ค๐˜‚รฉ ๐—ฑ๐—ถ๐—ฒ๐—ป๐˜๐—ฒ ๐˜€๐˜‚๐—ฒ๐—น๐—ฒ ๐˜€๐—ฒ๐—ฟ ๐˜๐˜‚ "๐—ฝ๐—ฒ๐—ฑ๐—ฟ๐—ฎ ๐—ฒ๐—ป ๐—ฒ๐—น ๐˜‡๐—ฎ๐—ฝ๐—ฎ๐˜๐—ผ": ๐—ฒ๐—น ๐Ÿญ๐Ÿฎ ๐—ผ ๐—ฒ๐—น ๐—ฐ๐—ฎ๐—ป๐—ถ๐—ป๐—ผ ๐—ถ๐—ป๐—ณ๐—ฒ๐—ฟ๐—ถ๐—ผ๐—ฟ? ยฟ๐—ฅ๐—ฒ๐—ฑ๐˜‚๐—ฐ๐—ฒ๐˜€ ๐—น๐—ฎ ๐˜ƒ๐—ฒ๐—น๐—ผ๐—ฐ๐—ถ๐—ฑ๐—ฎ๐—ฑ ๐—ฑ๐—ฒ ๐—ฐ๐—ผ๐—ฟ๐—ฟ๐—ฒ๐—ฐ๐—ฐ๐—ถรณ๐—ป ๐—ฒ๐—ป ๐—น๐—ผ๐˜€ ๐—ฑ๐—ถ๐—ฒ๐—ป๐˜๐—ฒ๐˜€ ๐—พ๐˜‚๐—ฒ ๐˜๐—ถ๐—ฒ๐—ป๐—ฒ๐—ป ๐—บ๐˜‚๐—ฐ๐—ต๐—ฎ ๐—ฟ๐—ผ๐˜๐—ฎ๐—ฐ๐—ถรณ๐—ป? ยฟ๐—จ๐˜€๐—ฎ๐˜€ ๐—ฎ๐˜‚๐˜…๐—ถ๐—น๐—ถ๐—ฎ๐—ฟ๐—ฒ๐˜€ ๐—ผ ๐—ฝ๐—ฟ๐—ฒ๐—ณ๐—ถ๐—ฒ๐—ฟ๐—ฒ๐˜€ ๐˜€๐—ฒ๐—ฐ๐˜‚๐—ฒ๐—ป๐—ฐ๐—ถ๐—ฎ๐—ฟ ๐—ฒ๐—น ๐—บ๐—ผ๐˜ƒ๐—ถ๐—บ๐—ถ๐—ฒ๐—ป๐˜๐—ผ ๐—ฒ๐—ป ๐—ฒ๐—น ๐˜€๐—ผ๐—ณ๐˜๐˜„๐—ฎ๐—ฟ๐—ฒ?
Biomecรกnica Alineadores | Dra. Marta Cuadra โ€” El Diente Director ๐Ÿฆท
2 likes โ€ข Mar 5
Me encanta el planteamiento del @Dr Miguel Cidraque Vella secuenciar es parte del รฉxito !
2 likes โ€ข Mar 5
Quรฉ opinas @Dr Miguel Cidraque Vella ?
Ataches Invisalign | Dra. Marta Cuadra โ€” El Secreto del Atache SASH
๐—Ÿ๐—ผ๐˜€ ๐—น๐—ฎ๐˜๐—ฒ๐—ฟ๐—ฎ๐—น๐—ฒ๐˜€ ๐—ฟ๐—ฒ๐—ฏ๐—ฒ๐—น๐—ฑ๐—ฒ๐˜€ ๐˜๐—ถ๐—ฒ๐—ป๐—ฒ๐—ป ๐˜€๐—ผ๐—น๐˜‚๐—ฐ๐—ถรณ๐—ป. ๐Ÿ’Ž๐Ÿš€ Soy la @Dra. Marta Cuadra y hoy te revelo mi herramienta favorita: el atache SASH. Inventado por el Dr. Nicosia, este atache rectangular de 4mm girado a 45 grados es "SASH-tastic" para controlar la rotaciรณn y el tip de piezas pequeรฑas y difรญciles. Si usas solo los ataches optimizados que te da el software por defecto, podrรญas perder el tracking. El SASH permite que el alineador empuje el diente constantemente hacia su posiciรณn. Como ortodoncista en Espaรฑa, este pequeรฑo cambio ha transformado la predictibilidad de mis casos complejos. Prueba esto en tu prรณximo plan: ยฟ๐—จ๐˜€๐—ฎ๐˜€ ๐—ฎ๐˜๐—ฎ๐—ฐ๐—ต๐—ฒ๐˜€ ๐—ผ๐—ฝ๐˜๐—ถ๐—บ๐—ถ๐˜‡๐—ฎ๐—ฑ๐—ผ๐˜€ ๐—ผ ๐˜๐—ฒ ๐—ฎ๐˜๐—ฟ๐—ฒ๐˜ƒ๐—ฒ๐˜€ ๐—ฎ ๐—ฝ๐—ฒ๐—ฟ๐˜€๐—ผ๐—ป๐—ฎ๐—น๐—ถ๐˜‡๐—ฎ๐—ฟ๐—น๐—ผ๐˜€ ๐—ฒ๐—ป ๐—ฒ๐—น ๐—–๐—ผ๐—ป๐˜๐—ฟ๐—ผ๐—น ๐Ÿฏ๐——? ยฟ๐—–รณ๐—บ๐—ผ ๐˜€๐—ฎ๐—ฏ๐—ฒ๐˜€ ๐˜€๐—ถ ๐˜๐˜‚ ๐—ฏ๐—ถ๐˜€๐—ฒ๐—น ๐—ฒ๐˜€๐˜รก ๐—ฏ๐—ถ๐—ฒ๐—ป ๐—ผ๐—ฟ๐—ถ๐—ฒ๐—ป๐˜๐—ฎ๐—ฑ๐—ผ? (ยก๐—ฅ๐—ฒ๐—ฐ๐˜‚๐—ฒ๐—ฟ๐—ฑ๐—ฎ ๐—บ๐—ถ ๐˜รฉ๐—ฐ๐—ป๐—ถ๐—ฐ๐—ฎ ๐—ฑ๐—ฒ๐—น ๐—ฑ๐—ฒ๐—ฑ๐—ผ!) ยฟ๐—ค๐˜‚รฉ ๐—ต๐—ฎ๐—ฐ๐—ฒ๐˜€ ๐—ฐ๐˜‚๐—ฎ๐—ป๐—ฑ๐—ผ ๐—ฒ๐—น ๐Ÿญ๐Ÿฎ ๐—ผ ๐—ฒ๐—น ๐Ÿฎ๐Ÿฎ ๐—ฑ๐—ฒ๐—ท๐—ฎ๐—ป ๐—ฑ๐—ฒ ๐—ฒ๐—ป๐—ฐ๐—ฎ๐—ท๐—ฎ๐—ฟ?
Ataches Invisalign | Dra. Marta Cuadra โ€” El Secreto del Atache SASH
2 likes โ€ข Feb 21
@Eva Durรกn seguro que serรก un gran aporte! ๐Ÿ™Œ
1 like โ€ข Mar 5
Exacto !!! El lateral si se desajusta columpio ! Que elรกsticos usas para esto @Dr Miguel Cidraque Vella y como lo pautas?
Marta Cuadra Ortodoncista | Detrรกs del uniforme clรญnico
ยก๐—›๐—ผ๐—น๐—ฎ ๐—ฎ ๐˜๐—ผ๐—ฑ๐—ผ๐˜€! ๐Ÿ‘‹ Soy Marta Cuadra, ortodoncista apasionada por la tecnologรญa y la funciรณn. Antes de seguir con la biomecรกnica, quiero que conectemos como equipo. En mi clรญnica de Jerez de la Frontera, he aprendido que lo mรกs importante no son solo los alineadores, sino las personas que los diseรฑan. โœจ He dedicado aรฑos a formarme y hoy mi mayor ilusiรณn es ayudarte a ti a que tu camino sea mรกs corto. Ser Invisalign Diamond Apex es una responsabilidad que asumo con ganas de enseรฑar. ยกPresรฉntate!: ยฟ๐——๐—ฒ๐˜€๐—ฑ๐—ฒ ๐—ฑรณ๐—ป๐—ฑ๐—ฒ ๐—ป๐—ผ๐˜€ ๐—น๐—ฒ๐—ฒ๐˜€? (ยก๐—ค๐˜‚๐—ถ๐—ฒ๐—ฟ๐—ผ ๐˜ƒ๐—ฒ๐—ฟ ๐—ฒ๐˜€๐—ฒ ๐—บ๐—ฎ๐—ฝ๐—ฎ ๐—น๐—น๐—ฒ๐—ป๐—ผ!) ยฟ๐—–๐˜‚รก๐—ป๐˜๐—ผ ๐˜๐—ถ๐—ฒ๐—บ๐—ฝ๐—ผ ๐—น๐—น๐—ฒ๐˜ƒ๐—ฎ๐˜€ ๐—ต๐—ฎ๐—ฐ๐—ถ๐—ฒ๐—ป๐—ฑ๐—ผ ๐—ผ๐—ฟ๐˜๐—ผ๐—ฑ๐—ผ๐—ป๐—ฐ๐—ถ๐—ฎ ๐—ถ๐—ป๐˜ƒ๐—ถ๐˜€๐—ถ๐—ฏ๐—น๐—ฒ? ยฟ๐—ค๐˜‚รฉ ๐—ฒ๐˜€ ๐—น๐—ผ ๐—พ๐˜‚๐—ฒ ๐—บรก๐˜€ ๐˜๐—ฒ ๐—ถ๐—น๐˜‚๐˜€๐—ถ๐—ผ๐—ป๐—ฎ ๐—ฑ๐—ฒ ๐—ฒ๐˜€๐˜๐—ฎ๐—ฟ ๐—ฒ๐—ป ๐—ฒ๐˜€๐˜๐—ฎ ๐—ฐ๐—ผ๐—บ๐˜‚๐—ป๐—ถ๐—ฑ๐—ฎ๐—ฑ?
Marta Cuadra Ortodoncista | Detrรกs del uniforme clรญnico
2 likes โ€ข Mar 5
@Sabrina Gernand-Lรณpez Que gusto que estรฉs por acรก Sabrina! Cuรกl es tu mรกs grande reto ahorita?
2 likes โ€ข Mar 5
@Sabrina Gernand-Lรณpez
1-10 of 38
Dra. Marta Cuadra
5
348points to level up
@dra-marta-cuadra-6902
๐Ÿ’Ž Diamond Apex Provider Invisalign โšซ๏ธŽ Speaker Oficial โšซ๏ธŽ Especialista en ortodoncia invisible y biomecรกnica avanzada con alineadores โœจ

Active 10d ago
Joined Feb 20, 2026
Powered by